Jak černý zubní kámen ovlivňuje váš spánek a co s tím dělat

single-image
pro, 11 2025

Kalkulátor výhod odstranění černého zubního kamene pro lepší spánek

Zjistěte, kolik více hlubokého spánku byste mohli mít po odstranění černého zubního kamene

Výsledek se zobrazí zde

Černý zubní kámen nejen znečišťuje vaše zuby - může vám rozbít spánek. Ano, ten tmavý, drsný nános u základny zubů, který si většina lidí nevšimne, má přímý vliv na to, jak dobře spíte. Není to jen o estetice. Když se tento kámen hromadí, mění se vaše ústa v pravou kultivovanou kulturu bakterií, které vydávají látky, které ruší vaši noční obnovu.

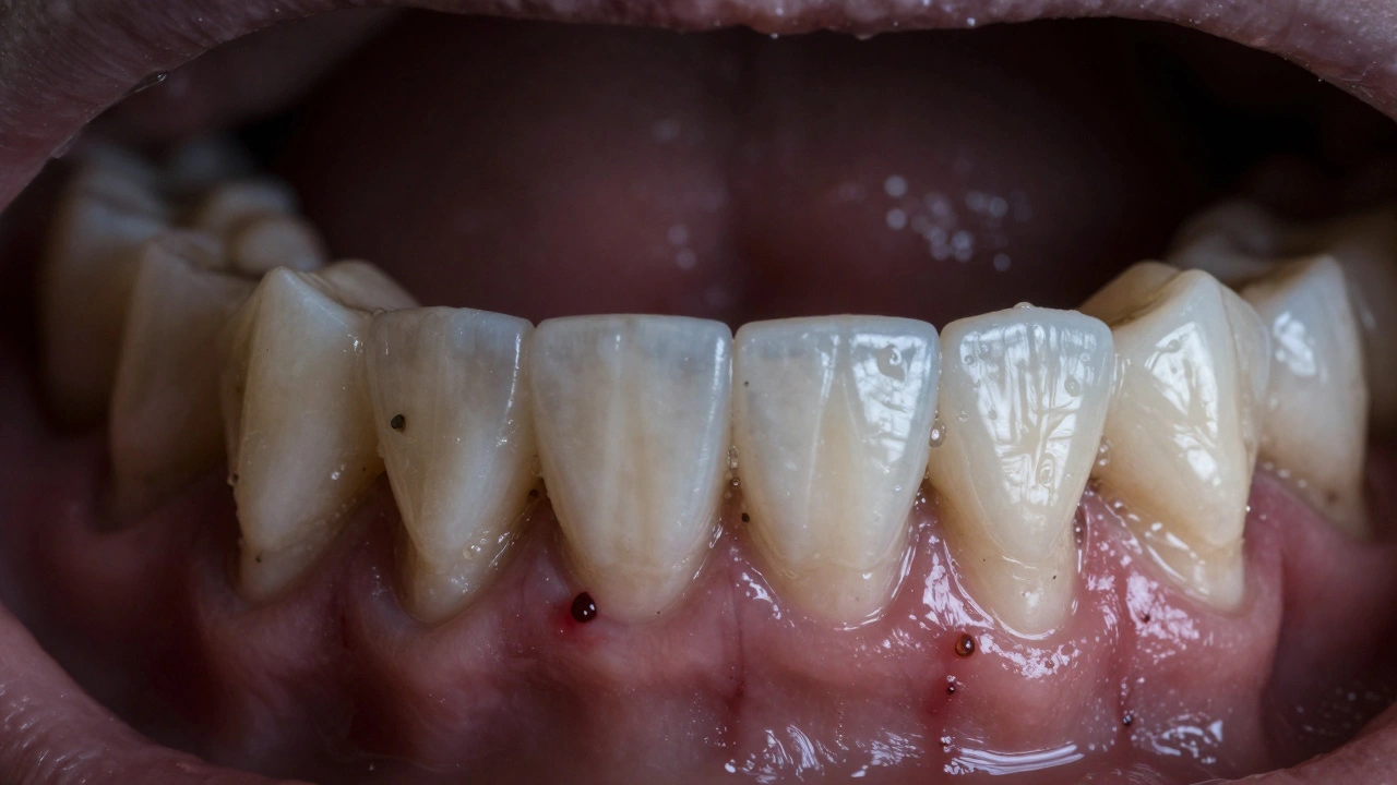
Co je černý zubní kámen a jak vzniká?

Černý zubní kámen je druh zubního kamene, který vzniká, když se plak - ten klíživý film na zubech - dlouho nesmaže. Plak se postupně vápencuje a ztuhne. Když je v kontaktu s kovovými ionty, jako je železo z krve (například z krvácení dásní) nebo z potravy, změní barvu na černou nebo tmavě šedou. Někdy se objevuje jen u jednoho zubu, ale často se šíří na více zubů, zejména u spodních řezáků a molárů.

Nejčastější příčiny? Špatná hygiena, kouření, časté pití černého čaje, kávy nebo červeného vína, a také přílišné užívání železa v doplňcích nebo léčbě anémie. Někteří lidé mají přirozeně vyšší obsah železa ve slinách - a pro ně je riziko černého kamene výrazně vyšší.

Proč černý zubní kámen ruší spánek?

Když máte černý zubní kámen, vaše dásně často krvácí. To není jen nepříjemné - to vytváří trvalý zápach z úst. Tento zápach není jen problém při komunikaci. Během noci, kdy se ústa suší a sliny přestávají plnit svou čistící funkci, se bakterie z kamenů začnou aktivně šířit a uvolňovat těkavé sírové sloučeniny - ty, které dělají zápach jako z hniloby.

Studie z roku 2023 z Univerzity v Brně ukázaly, že lidé s výrazným zubním kamenem a zápachem z úst spí o 22 % méně hlubokého spánku. Proč? Protože váš mozek je přirozeně vybavený k detekci nebezpečí - a zápach z úst je pro něj signál, že něco není v pořádku. I když si to neuvědomujete, váš mozek během noci částečně probouzí, aby zkontroloval, zda je vše v pořádku. Výsledek? Přerušovaný spánek, únavy ráno, problémy s koncentrací.

Jaký je vztah mezi zubním kamenem a příznaky jako kašel nebo suché hrdlo?

Nejen že se bakterie z kamenů šíří do krku, ale také vydávají látky, které podráždějí sliznici. To může způsobit, že se probouzíte několikrát za noc kvůli kašli nebo pocitu, že máte v hrdle něco „přilepeného“. Mnoho lidí si to vykládá jako alergii nebo nachlazení, ale když odstraníte zubní kámen, příznaky zmizí.

Podobně se může objevit suché hrdlo - protože bakterie spotřebovávají kyslík a vytvářejí kyselé prostředí, které suší sliznici. To zhoršuje i snové apnoe, protože podrážděná hltanová tkáň se snadněji zavírá.

Bakterie z kamenů ruší spánek, znázorněno jako zářící vlákna v krku

Co můžete dělat, když máte černý zubní kámen?

Neexistuje domácí metoda, která by ho úplně odstranila. Čistění zubů, vodní plyn, či solná pláchně - všechno to pomáhá s plakem, ale ne s tvrdým kamenem. Ten potřebuje profesionální odstranění.

První krok: Navštivte zubního hygienistu. Odstranění černého kamene se dělá pomocí ultrazvukového skrabání nebo laseru. Je to rychlé, nebojíte se toho, a nezanechává to po sobě škrábance. Proces trvá 20-40 minut a je úplně bezbolestný, pokud nemáte závažné záněty dásní.

Po odstranění je důležité udržovat hygenu. Používejte zubní kartáček s měkkými vlákny, čistěte si zuby dvakrát denně, a používejte zubní nit nebo mezizubní kartáček. Vyhněte se kouření a omezte černý čaj a kávu na 1-2 šálky denně. Pokud užíváte železné doplňky, zeptejte se lékaře, zda nemůžete přejít na jinou formu.

Co se stane, když to ignorujete?

Ignorování černého zubního kamene není jen otázka estetiky. Když se kámen neodstraní, zánět dásní se zhoršuje. Může přejít do parodontitidy - což znamená ztrátu kosti kolem zubů. V některých případech se zuby začnou hýbat a musí být vytaženy.

A pokud už máte problémy se spánkem, bude to jen horší. Chronický nedostatek hlubokého spánku zvyšuje riziko cukrovky, obezity, hypertenze a i deprese. Všechno to může být přímo spojené s tím, že vaše ústa nejsou čistá.

Porovnání zdravého a infikovaného ústního prostředí vlivem kamenů

Je černý zubní kámen nakažlivý?

Ano, ale ne tak, jak si to lidé obvykle představují. Bakterie, které vytvářejí kámen, se přenášejí přes sliny - například při sdílení šálku, lžíce nebo políbení. To znamená, že pokud máte černý kámen a máte děti nebo partnera, můžete jim přenést tytéž bakterie. To neznamená, že budou mít hned černý kámen - ale zvýší se jejich riziko.

Proto je důležité nejen léčit sami sebe, ale také podporovat hygienické návyky u celé rodiny. U dětí začněte čistit zuby už od prvního zoubku. U dospělých je dobré navštívit hygienistu každých 6 měsíců, i když nic nebolí.

Co dělat, když už máte zubní kámen a problémy se spánkem?

Nečekáte, až se to samo vyřeší. Nečekáte, až vás někdo upozorní. První krok je jednoduchý: Nastavte si termín u zubního hygienisty. Nejde o luxus, jde o základní péči o zdraví. Pokud máte problémy se spánkem, které nevysvětlujete, a zároveň si všimnete tmavého nánosu na zubech, je to přímý signál.

Po odstranění kamene většina lidí hlásí vylepšení spánku během 2-3 dní. Nejsou to jen lepší nálady - jsou to delší fáze hlubokého spánku, méně probouzení, a méně únavy ráno.

Nezapomeňte: vaše ústa nejsou jen místem, kde jíte. Jsou vstupní branou do vašeho těla. Když tam je zárodek zánětu, celé tělo to cítí. A když se tělo nezotavuje během noci, nezotaví se nikdy.